At Dental Aesthetics Laboratory we offer precision-milled zirconia and implant restorations—made easy from your intraoral scans.
Digitally designed and handcrafted in-lab by our master ceramist who with over 40 years of experience, continues to oversee every case.
If you already have a Medit account click here Otherwise click the button below to request portal access, we'll email your office within 1 business day.
Where master craftsmanship meets modern digital dentistry.
Using Custom-Contoured CAD/CAM ABUTMENTS
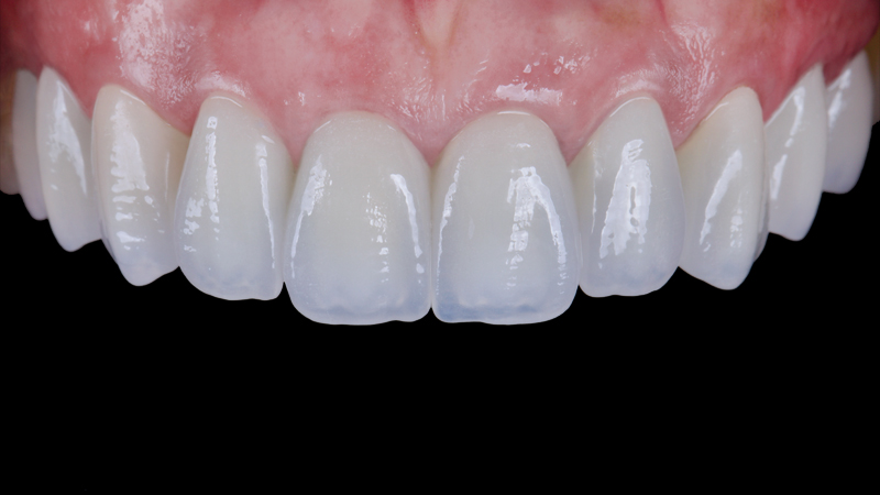
Dental Aesthetics delivers precision-milled implant restorations. Each restoration is designed for accuracy, optimal contours, and a natural, esthetic finish.
Implant Crown Restorations
At Dental Aesthetics Laboratory, implant crowns are crafted with precision to restore both function and esthetics for patients with missing teeth. Each restoration is designed to integrate seamlessly with the implant system while providing long-term durability and a natural appearance.
Our implant crowns are fabricated using advanced materials such as high-strength zirconia and IPS e.max, allowing us to deliver restorations that combine exceptional strength with lifelike esthetics.
Working within a fully digital workflow, we ensure precise design, predictable fit, and efficient turnaround times for clinicians who rely on consistency and quality.
Implant Restoration Options
We provide several implant-supported restoration solutions, including:
• Zirconia Implant Crowns (Ti-Base Compatible)
• Custom Abutment & Crown Solutions
• Screw-Retained Implant Crowns
• Cement-Retained Implant Crowns
Each case is carefully designed to optimize emergence profile, occlusion, and esthetics, helping clinicians deliver reliable long-lasting results.
- Precision CAD/CAM design for superior fit and form.
- Seamless gingival margins and well-supported emergence profiles.
- High-strength, esthetic restorative solutions for a wide range of clinical indications.
- Compatible with most major implant systems.
Available Shades
A1, A2, A3, A3.5, A4, B1, B2, B3, B4, C1, C2, C3, C4, D2, D3, D4
Custom Shade Matching
Elevate the esthetics of your cases with our premium custom shade services, designed for the highest level of precision and patient satisfaction. Contact us for personalized shade consultations and pricing.

Bilayered Clinical Zirconia
Where Strength Meets Artistry
Bilayered Clinical Zirconia combines a high-strength zirconia framework with hand-layered porcelain to achieve optimal strength, translucency, and shade control. Each restoration is digitally designed and finished with refined ceramic craftsmanship for precise fit and natural esthetics.
Indicated for both anterior and posterior applications, this restoration offers the durability clinicians trust with the esthetics patients expect.
A balance of digital precision and experienced ceramic artistry.
Indications
Single crowns, splinted crowns, and bridges up to 14 units
Turnaround Time
5-day in-lab processing
Case Submission
Send scans by 11:00 AM for same-day case initiation
Available Shades
A1, A2, A3, A3.5, A4, B1, B2, B3, B4, C1, C2, C3, C4, D2, D3, D4
Custom Shade Matching
Elevate the esthetics of your cases with our premium custom shade services, designed for the highest level of precision and patient satisfaction. Contact us for personalized shade consultations and pricing.
Full-Strength Monolithic Zirconia Crowns
Full-strength monolithic zirconia is ideal for restorations exposed to high occlusal stress where fracture resistance and long-term durability are essential. With flexural strength exceeding 1,000 MPa, it provides exceptional resistance to chipping, wear, and catastrophic failure.
Clinical advantages include:
- High fracture toughness for posterior and parafunctional cases
- Metal-free alternative to cast gold and porcelain-fused-to-metal restorations
- Suitable for patients with bruxism, heavy occlusion, or a history of restorative failure
Designed for predictable performance in high-load clinical situations.
Indications
Single crowns, splinted crowns, and bridges up to 14 units
Material
High-strength monolithic zirconia
Turnaround Time
3–5 day in-lab processing
Case Submission
Send scans by 11:00 AM for same-day case initiation
Available Shades
A1, A2, A3, A3.5, A4, B1, B2, B3, B4, C1, C2, C3, C4, D2, D3, D4
Custom Shade Matching
Elevate the esthetics of your cases with our premium custom shade services, designed for the highest level of precision and patient satisfaction. Contact us for personalized shade consultations and pricing.
Available Shades
A1, A2, A3, A3.5, A4, B1, B2, B3, B4, C1, C2, C3, C4, D2, D3, D4
Custom Shade Matching
Elevate the esthetics of your cases with our premium custom shade services, designed for the highest level of precision and patient satisfaction. Contact us for personalized shade consultations and pricing.
PMMA Temporary Restorations
PMMA (polymethyl methacrylate) restorations are designed for provisional use, offering reliable esthetics, smooth surface finish, and predictable short-term durability. CAD/CAM milling ensures precise marginal adaptation and accurate occlusion.
Suitable for single units, multi-unit bridges, and full-arch temporaries, PMMA restorations allow clinicians to evaluate esthetics, function, and tissue response prior to final restoration delivery.
Designed for predictable temporization and treatment evaluation.
Indications
Single units, bridges, and full-arch provisional restorations
Material
CAD/CAM-milled PMMA
Turnaround Time
3–5 day in-lab processing
Case Submission
Send scans by 11:00 AM for same-day case initiation
Available Shades
A1, A2, B1, C1, C4, D2
Diagnostic Wax-Ups
Your Key to Predictable Smile Transformations
Diagnostic wax-ups provide a precise preview of proposed treatment outcomes, allowing clinicians and patients to visualize changes in tooth form, function, and esthetics before treatment begins.
Using advanced CAD/CAM technology, restorations are digitally designed from preoperative models and produced as accurate 3D-printed or conventional wax-ups. This process supports clear communication and predictable treatment planning.
An essential tool for case visualization and clinical confidence.
Indications
Esthetic cases, full-arch rehabilitation, and treatment planning involving changes in tooth position, shape, or occlusion
Material
Digital design with 3D-printed model or conventional wax
Turnaround Time
3–5 day in-lab processing
Case Submission
Send scans by 11:00 AM for same-day case initiation
A More Personalized Approach
Each case is produced in-house and individually reviewed, allowing for custom adjustments and consistent, high-quality results.
Turnaround
Standard: 3–5 days Expedited: 24-hour service available for select cases
Send scans by 11:00 AM for same-day case initiation.
Precision at Every Stage
From case submission to final delivery, every restoration is executed with accuracy, consistency, and control—guided by advanced digital workflows. Backed by over 40 years of ceramic expertise, each case reflects a standard of precision developed through decades of craftsmanship.
1. Send Your Scans with Confidence
Submit intraoral scans directly through our portal by 11:00 AM for same-day case initiation. Cases can be sent via the MEDIT Link platform by selecting Dental Aesthetics Laboratory as your preferred lab.
For flexibility, STL, PLY, and OBJ files may also be submitted via email.
Direct digital submission minimizes variables and supports the highest level of accuracy from the start.
2. Scanning from Analog Models
We also accept conventional impressions and working models, including analog implant cases and single or triple tray impressions. All models are scanned in a single pass to reduce variables such as material distortion and handling inconsistencies.
Our scanning accuracy meets ISO 12836 standards, with tolerances of 50 μm for crowns and bridges and 8 μm for implant restorations.
3. CAD Design Accuracy
Following acquisition, margins, occlusion, and preparation details are precisely defined and secured within the design environment. Our technicians refine each case within these parameters using advanced anatomical libraries to achieve natural contours and optimal function.
4. CAM Milling Precision
Each restoration is milled based on locked design parameters to ensure accuracy and consistency. After milling and sintering, restorations are verified on printed or solid models to confirm fit and contacts.
Final finishing—whether monolithic, stained and glazed, or layered—is completed with careful attention to esthetics, occlusion, and marginal integrity. Every case undergoes thorough quality control prior to delivery.
5. 3D Printing Accuracy
Models are generated directly from digital scan data and printed at 50 μm resolution for high detail and consistency. Each model is clearly labeled for efficient case identification.
Post-processing includes automated washing, drying, and controlled UV curing to ensure material stability and durability.
Using advanced model resins and calibrated printing systems, the majority of printed surfaces fall within 100 μm of the original CAD design, with high consistency across builds—supporting reliable results for demanding restorative applications.
